Case-Based Modules > Case 11

A 51 year-old woman with HTN, prediabetes, and active tobacco use (20 pack-year history) was found down this morning by her partner. Last known normal was three hours prior to that. EMS arrived at the scene. She remained unresponsive and was intubated there for airway protection.

She arrived in the ED with propofol gtt @ 20mcg/kg/min and nicardipine @ 2.5mg/hr. Initial vitals are notable for BP 125/60, HR 105, RR 26, SpO2 98%. Initial labs were notable for WBC 28, Hb 13.9, Plt 328, Na 140, K 3.9, HCO3 22, BUN 10, Cr 0.98, glucose 100, hsTrop 101.

On the ED's exam, she made intermittent bilateral leg extensor movements. A 12-lead EKG was obtained. She was sent to the scanner for a non-contrast HCT, CTA head/neck, CT C-spine, CT chest/abd/pel.

EKG
NCHCT
NCHCT 1/32 1/32
NCHCT 2/32 2/32
NCHCT 3/32 3/32
NCHCT 4/32 4/32
NCHCT 5/32 5/32
NCHCT 6/32 6/32
NCHCT 7/32 7/32
NCHCT 8/32 8/32
NCHCT 9/32 9/32
NCHCT 10/32 10/32
NCHCT 11/32 11/32
NCHCT 12/32 12/32
NCHCT 13/32 13/32
NCHCT 14/32 14/32
NCHCT 15/32 15/32
NCHCT 16/32 16/32
NCHCT 17/32 17/32
NCHCT 18/32 18/32
NCHCT 19/32 19/32
NCHCT 20/32 20/32
NCHCT 21/32 21/32
NCHCT 22/32 22/32
NCHCT 23/32 23/32
NCHCT 24/32 24/32
NCHCT 25/32 25/32
NCHCT 26/32 26/32
NCHCT 27/32 27/32
NCHCT 28/32 28/32
NCHCT 29/32 29/32
NCHCT 30/32 30/32
NCHCT 31/32 31/32
NCHCT 32/32 32/32
CTA head/neck
CTA head/neck 1/36 1/36
CTA head/neck 2/36 2/36
CTA head/neck 3/36 3/36
CTA head/neck 4/36 4/36
CTA head/neck 5/36 5/36
CTA head/neck 6/36 6/36
CTA head/neck 7/36 7/36
CTA head/neck 8/36 8/36
CTA head/neck 9/36 9/36
CTA head/neck 10/36 10/36
CTA head/neck 11/36 11/36
CTA head/neck 12/36 12/36
CTA head/neck 13/36 13/36
CTA head/neck 14/36 14/36
CTA head/neck 15/36 15/36
CTA head/neck 16/36 16/36
CTA head/neck 17/36 17/36
CTA head/neck 18/36 18/36
CTA head/neck 19/36 19/36
CTA head/neck 20/36 20/36
CTA head/neck 21/36 21/36
CTA head/neck 22/36 22/36
CTA head/neck 23/36 23/36
CTA head/neck 24/36 24/36
CTA head/neck 25/36 25/36
CTA head/neck 26/36 26/36
CTA head/neck 27/36 27/36
CTA head/neck 28/36 28/36
CTA head/neck 29/36 29/36
CTA head/neck 30/36 30/36
CTA head/neck 31/36 31/36
CTA head/neck 32/36 32/36
CTA head/neck 33/36 33/36
CTA head/neck 34/36 34/36
CTA head/neck 35/36 35/36
CTA head/neck 36/36 36/36

What do you think about the preliminary work-up?

The patient's vitals seem fine. She has quite a leukocytosis, but the remainder of her labs look fine. The abnormal movements are unusual. Could she be having a seizure? What else could those movements represent, though?

Her EKG is floridly abnormal! Yikes. The rhythm looks regular. The ventricular rate is about 100bpm. Normal axis. But there's marked ST elevation in the inferior leads (II, III, aVF) along with reciprocal ST depression and T wave inversion in the lateral leads (I, aVL). The anterior-anteroseptal precordial leads (V1, V2, V3) also have ST depression and T wave inversion. There's troponinemia, though the degree of elevation is very mild-- we'd expect a much greater increase if there was acute plaque rupture with an occlusion MI (OMI). (Or have we just not seen the peak yet?) Acute neurologic injuries-- including ischemic stroke, IPH, SAH-- are all well-known to generate troponin leaks and electrocardiographic changes, even ST elevation. But this pattern is very focal and is concerning for an OMI.

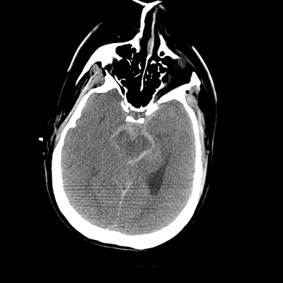
In terms of her neuroimaging, it's clearly abnormal. With the non-contrast head CT, we can see an acute SAH, with blood in the basal cisterns and Sylvian fissures, with some trace blood in the ventricles. The ventricles generally don't look too large, but actually, the temporal horns and atria are visible and larger. So, there's definitely ventriculomegaly that, in combination with her clinical exam, suggests hydrocephalus.

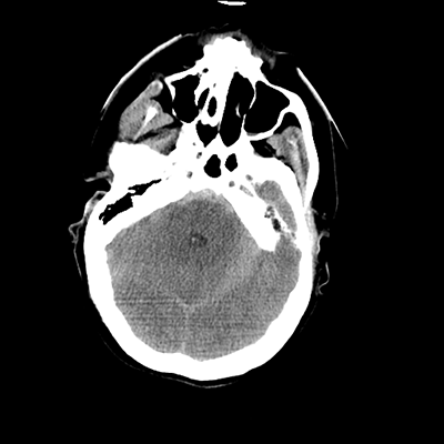
With the CTA of her head/neck, we can sort of see some atherosclerosis (though the images aren't windowed well for this). Importantly, though, we can see a rounded abnormality around the tip of the basilar/left PCA. This is an aneurysm! This helps put things together. This patient had an aneurysmal rupture leading to SAH and hydrocephalus, causing her loss of consciousness. While her leg extensor movements could be seizures, they're probably actually posturing movements, secondary to intracranial hypertension in the setting of her hydrocephalus.

> Click here to continue