Case-Based Modules > Case 12

A 36 year-old woman with depression who is currently pregnant (G1P0, 34 weeks) presents to the ED with an acute onset of headache. She had been making breakfast this morning when she had a sudden-onset severe headache. She's had occasional brief tension headaches in the past, but nothing like this. Due to the persistence and severity of this headache, her husband brought her in to the ED for evaluation.

In the ED, initial vitals are notable for BP 146/82, HR 80, SpO2 99%, T37.2C. She was sent to the scanner for a non-contrast HCT and CTA head/neck. (The ED had a risk-benefit discussion on CT imaging with iodinated contrast, and the shared decision was to pursue this imaging.)

On your initial exam, you observe that she's alert and follows commands well. Language is intact. She had direction-changing nystagmus even in primary gaze. She has a mild-moderate dysarthria. She has leftward tongue deviation. She doesn't have any hemiparesis.

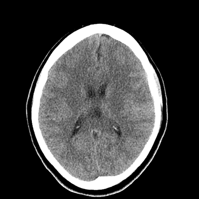
NCHCT
NCHCT 1/28 1/28
NCHCT 2/28 2/28
NCHCT 3/28 3/28
NCHCT 4/28 4/28
NCHCT 5/28 5/28
NCHCT 6/28 6/28
NCHCT 7/28 7/28
NCHCT 8/28 8/28
NCHCT 9/28 9/28
NCHCT 10/28 10/28
NCHCT 11/28 11/28
NCHCT 12/28 12/28
NCHCT 13/28 13/28
NCHCT 14/28 14/28
NCHCT 15/28 15/28
NCHCT 16/28 16/28
NCHCT 17/28 17/28
NCHCT 18/28 18/28
NCHCT 19/28 19/28
NCHCT 20/28 20/28
NCHCT 21/28 21/28
NCHCT 22/28 22/28
NCHCT 23/28 23/28
NCHCT 24/28 24/28
NCHCT 25/28 25/28
NCHCT 26/28 26/28
NCHCT 27/28 27/28
NCHCT 28/28 28/28
CTA head
CTA head 1/40 1/40
CTA head 2/40 2/40
CTA head 3/40 3/40
CTA head 4/40 4/40
CTA head 5/40 5/40
CTA head 6/40 6/40
CTA head 7/40 7/40
CTA head 8/40 8/40
CTA head 9/40 9/40
CTA head 10/40 10/40
CTA head 11/40 11/40
CTA head 12/40 12/40
CTA head 13/40 13/40
CTA head 14/40 14/40
CTA head 15/40 15/40
CTA head 16/40 16/40
CTA head 17/40 17/40
CTA head 18/40 18/40
CTA head 19/40 19/40
CTA head 20/40 20/40
CTA head 21/40 21/40
CTA head 22/40 22/40
CTA head 23/40 23/40
CTA head 24/40 24/40
CTA head 25/40 25/40
CTA head 26/40 26/40
CTA head 27/40 27/40
CTA head 28/40 28/40
CTA head 29/40 29/40
CTA head 30/40 30/40
CTA head 31/40 31/40
CTA head 32/40 32/40
CTA head 33/40 33/40
CTA head 34/40 34/40
CTA head 35/40 35/40
CTA head 36/40 36/40
CTA head 37/40 37/40
CTA head 38/40 38/40
CTA head 39/40 39/40
CTA head 40/40 40/40

What do you think about the preliminary work-up?

The patient's vitals aren't too impressive. Her exam definitely demonstrates some focal abnormalities referable to the brainstem-- localizing, likely, to the medulla, based on what was described.

With that in mind, as we look at her neuroimaging, it's subtle, but we can appreciate a faint SAH in the left frontal lobe convexity. Her vessel imaging is unremarkable.


What is your differential diagnosis?

This is a young, pregnant woman who had a sudden-onset severe headache, with imaging demonstrating an acute SAH. With a SAH in that location, we'd wonder about an abnormality of the distal vasculature at that side. However, we need to recognize that CTA is not very sensitive for distal vascular anomalies, so we haven't yet ruled this out.

The differential diagnosis includes traumatic SAH, aneurysmal SAH, PRES/RCVS, DVST, and dAVF. She's too young to have an amyloid bleed. Primary CNS vasculitis is possible, but the clinical history doesn't fit (also generally appears with a more gradual rather than thunderclap headache). Even then, ruling out the other possibilities is more pressing.


What additional questions should you ask?

Since we see an acute SAH, and the most common cause is trauma, the first question to get out of the way is whether or not she has had any head trauma. (In this case, no.) For aneurysmal causes, it might be helpful to know if she's had any known aneurysms or other cerebrovascular abnormalities. (In this case, no. But, she does have a 10 pack-year smoking history, though she hasn't smoked since discovering she was pregnant.)

For PRES/RCVS, we should ask whether she's been exposed to any medications are substances that are known to be associated with it, such as serotonergic medications (e.g. SSRIs), marijuana. (Here, she's been taking citalopram 10mg daily for the past few years, and she doesn't smoke marijuana or do edibles.) Of course, we already have a key bit of information that is also very pertinent to the diagnosis of PRES/RCVS: she's currently pregnant! This spectrum of disorders is notorious for occuring during pregnancy and even in the immediate post-partum period.

For DVST, we could ask whether she's had any known propensity to clot. (Here, she's never before had thromboembolism, and she's never had any miscarriages.)


What do we do now?

At this point, we're really worried about a possible distal aneurysmal SAH that we haven't yet identified on cross-sectional imaging, or PRES/RCVS. She's 34 weeks pregnant, and she already has some clear focal deficits. She has dysarthria, but seems to be protecting her airway-- for now. Or is she? As we look back at the patient, she's now having more trouble controlling her oral secretions.

This is a tough spot to be in. Given the acuity of her symptoms and risk for exacerbating her neurologic injury with an impending delivery (i.e. increased abdominal straining from labor producing an increase in intracranial pressure), as well as even the more pressing risk of intubation if her airway is fully jeopardized, we need to talk with OB/GYN and anesthesia to consider an emergent C-section. She's far enough along that this is a reasonable and feasible consideration. In the meanwhile, due to adequate concern for PRES/RCVS, we can go ahead and administer IV magnesium 4g and start magnesium gtt @ 2g/hr. We'll check electrolytes every 6 hours and aim for a serum magnesium level of 2-3.5mg/dL.

Once the baby has been delivered and we have better control of her physiology, then we can proceed with additional diagnostic testing (e.g. diagnostic cerebral angiogram) as her clinical status warrants.

> Click here to continue

Suggested Reading: