Case-Based Modules > Case 13

An 82 year-old man with HTN, HLD, and mild neurocognitive disorder is brought to the ED by EMS for acute encephalopathy. He lives alone and functions independently. His two children live in town and have dinner with him every night.

Six weeks ago, he had a fall with some head trauma (no loss of consciousness) that was ultimately attributed to orthostatic hypotension; this resolved with conservative management. He didn't develop any deficits. He had gone to the ED and got a head CT that was unremarkable, aside from diffuse cerebral volume loss with some mild hydrocephalus ex vacuo deemed to be proportional to age.

This morning, he spoke with his children over the phone, and he sounded fine. When they showed up to have dinner with him, he didn't come to the door. They were able to get inside and found him down in the bathroom. He seemed confused and denied there being anything wrong. They called 911, and EMS brought him to the ED.

In the ED, initial vitals are notable for BP 118/68, HR 75, SpO2 97%, T37.4C. He was sent to the scanner for a pan-scan. His non-contrast head CT is shown. The ED consults you. They note that he's awake and hemiparetic. You make your way to the ED from the other side of the hospital.

On your initial exam, you observe that he's somnolent, only briefly awakening to noxious stimuli. He's otherwise snoring. He doesn't follow commands. His right arm and leg withdraw to pain; his left arm and leg have no response to pain. He has no involuntary movements.

NCHCT
NCHCT 1/15 1/15
NCHCT 2/15 2/15
NCHCT 3/15 3/15
NCHCT 4/15 4/15
NCHCT 5/15 5/15
NCHCT 6/15 6/15
NCHCT 7/15 7/15
NCHCT 8/15 8/15
NCHCT 9/15 9/15
NCHCT 10/15 10/15
NCHCT 11/15 11/15
NCHCT 12/15 12/15
NCHCT 13/15 13/15
NCHCT 14/15 14/15
NCHCT 15/15 15/15

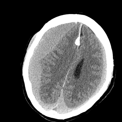
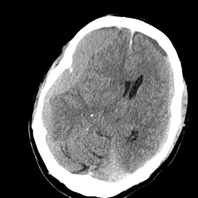
What do you make of his head CT?

The most overt abnormality is the right holohemispheric extraaxial blood; it's subdural in location. The density there suggests that this is an acute finding, fitting the clinical history. There's leftward midline shift as a result, with effacement of the right lateral ventricle. The left side also has a holohemispheric SDH, though smaller in thickness. However, on this side, the SDH is layering, with more isodense blood anteriorly. This suggests that, on this left side, his SDH is acute-on-chronic.

Aside from these obvious extraaxial abnormalities, there's another subtle finding. The patient is known to have had a prior head CT when he had his initial fall a few weeks ago, with the report noting that there was diffuse cerebral volume loss. At his age, we'd expect to see more sulcation. We don't. He doesn't because these hematomas are compressive and he's developed a little cerebral edema as well.