Case-Based Modules > Case 14

An 32 year-old man with no medical history presents as a pre-hospital trauma activation. He was a restrained driver in a vehicular collision. He initially lost consciousness, though regained it upon EMS' arrival. He has not required intubation.

You just finished seeing another consult in the ED, so you are able to quickly head over to the resuscitation bay to see the patient. His initial vital signs are BP 124/72, HR 85, SpO2 97%, T37C, weight 80kg. Your initial exam is limited, though informative as he's able to answer a few questions en route to the CT scanner.

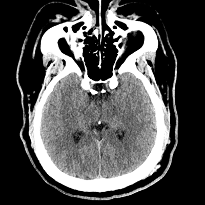
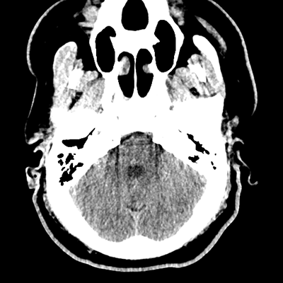
NCHCT
NCHCT 1/16 1/16
NCHCT 2/16 2/16
NCHCT 3/16 3/16
NCHCT 4/16 4/16
NCHCT 5/16 5/16
NCHCT 6/16 6/16
NCHCT 7/16 7/16
NCHCT 8/16 8/16
NCHCT 9/16 9/16
NCHCT 10/16 10/16
NCHCT 11/16 11/16
NCHCT 12/16 12/16
NCHCT 13/16 13/16
NCHCT 14/16 14/16
NCHCT 15/16 15/16
NCHCT 16/16 16/16

The patient returns to the room and you're able to complete your neurologic exam. There are no focal deficits. Unfortunately, just as you're explaining how no neurologic or neurosurgical intervention is currently indicated, he becomes unresponsive. His eyes are open but he no longer tracks you. Both of his arms then flex and his legs extend. Then, his arms alternately flex and extend. The ED nurse is in the room and asks you what to do.

What do you first?

The semiology is consistent with a generalized tonic-clonic (GTC) seizure. An obvious risk factor is his head trauma (even though his imaging is normal, he did also lose consciousness); it's possible he has other additional risk factors that have yet to be identified. As this is one of the less common times that you, the specialist, are there at the start event, you have this opportunity to completely direct the care that's about to happen.

While the seizure just started, you remind yourself to follow the ABCs first. Seizures are usually self-limited, so a medication is not currently needed. (It wouldn't be wrong to be proactive and ask the nurse to get your desired medication ready from a logistical standpoint, but be clear that it shouldn't be given until you give the go-ahead.) You can ask the nurse to help you turn the patient into a lateral decubitus position and to help you suction the patient's oral cavity if there are secretions. A fingerstick glucose is important to check, but other labs can wait until the seizure has stopped.

> Click here to continue