Case-Based Modules > Case 16

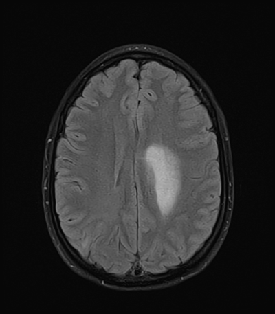
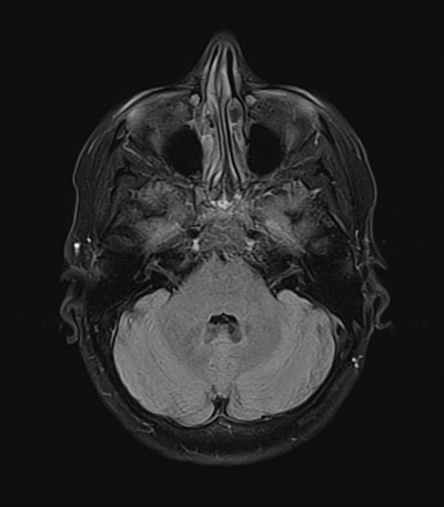
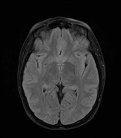
An 50 year-old man with lung adenoCA (known metastases to brain, spine, and adrenal glands) presents to the ED with worsening right arm and leg weakness. He had just gotten a routine MRI of his brain yesterday that re-demonstrated his known right occipital and left frontal metastases, though with an increase in vasogenic edema (mainly associated with the left frontal metastasis) as compared with prior. The ED consults you because of his abnormal MRI with worsening symptoms, and to inquire whether surgical intervention is acutely warranted.

MRI brain (FLAIR)
MRI brain (FLAIR) 1/18 1/18
MRI brain (FLAIR) 2/18 2/18
MRI brain (FLAIR) 3/18 3/18
MRI brain (FLAIR) 4/18 4/18
MRI brain (FLAIR) 5/18 5/18
MRI brain (FLAIR) 6/18 6/18
MRI brain (FLAIR) 7/18 7/18
MRI brain (FLAIR) 8/18 8/18
MRI brain (FLAIR) 9/18 9/18
MRI brain (FLAIR) 10/18 10/18
MRI brain (FLAIR) 11/18 11/18
MRI brain (FLAIR) 12/18 12/18
MRI brain (FLAIR) 13/18 13/18
MRI brain (FLAIR) 14/18 14/18
MRI brain (FLAIR) 15/18 15/18
MRI brain (FLAIR) 16/18 16/18
MRI brain (FLAIR) 17/18 17/18
MRI brain (FLAIR) 18/18 18/18

You arrive in the ED to evaluate the patient. He fills you in on the details of his recent clinical course. He's been on immunotherapy for his lung cancer for the past six months. This hemiparesis began around the time this was discovered, but it's gotten worse over the past week.

As you begin to perform an exam, his right hand and arm begin rhythmically jerking.

What do you do next?

This patient has known metastatic lung cancer with two brain metastases. The vasogenic edema is noted to have increased from prior. Now he's having very rhythmic right arm jerking movements. Probably a focal seizure. What now though? It really depends on what is the patient's mentation. Let's say that in this case, he maintains awareness and is able to continue interacting with you quite well. That's encouraging. Since most focal seizures will end spontaneously after a few minutes, and because his mental status is reassuring, you choose to hold off on treatment. But, you do notify his ED nurse and the ED resident, in case treatment needs to be escalated.

> Click here to continue