Case-Based Modules > Case 2

A 35 year-old man with no medical history was originally brought to the ED this morning after being a restrained driver in a motor vehicular collision. Initial GCS was 3, and he was intubated in the field by EMS. He underwent whole-body cross-sectional imaging. His head imaging is shown below. Neurosurgery was consulted and placed a right frontal intraparenchymal monitor. He was admitted to the NCCU.

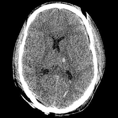
Non-contrast head CT demonstrating IVH, DAI, scalp hematoma

Over the first few hours, he requires several boluses of sedation, analgesia, and hyperosmolar therapy to manage his intracranial hypertension. You review his multimodality monitoring data, and see the following ICP tracing.

ICP waveform

(Hirzallah and Choi 2016)

ICP waveform

What phenomenon is indicated by his ICP tracing?

Note the time scale on the x-axis: this is much longer than the normal time scale shown for the ICP waveforms we saw in case 1. We're seeing a longer trend for the patient's ICP. For the most part, his ICPs oscillated in a small range just below 20mmHg. However, twice in the span of an hour in this figure, his ICPs rose to 30mmHg and persisted at that level for ten minutes at a time.

This is the classic tracing for plateau waves, also known as Lundberg A waves. The presence of plateau waves indicates there is poor cerebral compliance and that cerebral herniation is imminent.


What are some clinical manifestations you could see with this phenomenon?

The clinical symptoms associated with plateau waves can be very non-specific. The table below, from Chapter 3 of Plum and Posner's Diagnosis and Treatment of Stupor and Coma, lists the paroxysmal symptoms that have been reported to occur with plateau waves:

List of plateau wave symptoms

(Posner et al. 2019)

List of plateau wave symptoms

You'll notice how non-specific and, in some cases, non-focal, these symptoms are. Humbling. This also highlights how crucial it is to maintain a high index of suspicion for intracranial hypertension when invasive monitoring is not present.

Suggested Reading: