Case-Based Modules > Case 21

A 27 year-old woman with no medical history presents as a level 1 trauma activation. She was a restrained driver in a vehicular collision. Airbags were deployed. She was found unresponsive on the scene with a GCS of 7, so EMS intubated her in the field. She was then brought to the ED.

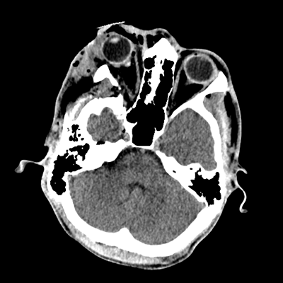
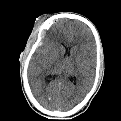
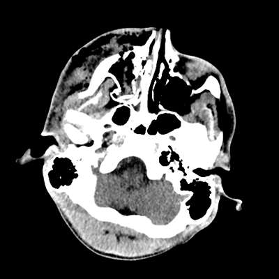
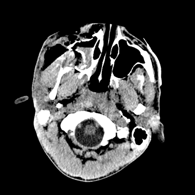
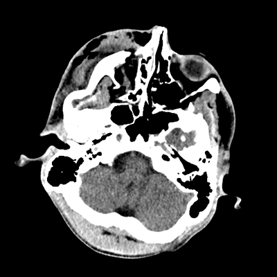
Initial vitals are notable for BP 111/67, HR 119, SpO2 100%, T 37.8C. She undergoes a whole-body CT scan. Trauma surgery also evaluates her. She has a zygomaticomaxillary complex fracture, comminuted fracture of her humerus, and fractures of ribs 2-6. Her non-contrast head CT is shown below. Plastic surgery evaluates her and recommends non-emergent operative repair of her facial fracture.

NCHCT
NCHCT 1/28 1/28
NCHCT 2/28 2/28
NCHCT 3/28 3/28
NCHCT 4/28 4/28
NCHCT 5/28 5/28
NCHCT 6/28 6/28
NCHCT 7/28 7/28
NCHCT 8/28 8/28
NCHCT 9/28 9/28
NCHCT 10/28 10/28
NCHCT 11/28 11/28
NCHCT 12/28 12/28
NCHCT 13/28 13/28
NCHCT 14/28 14/28
NCHCT 15/28 15/28
NCHCT 16/28 16/28
NCHCT 17/28 17/28
NCHCT 18/28 18/28
NCHCT 19/28 19/28
NCHCT 20/28 20/28
NCHCT 21/28 21/28
NCHCT 22/28 22/28
NCHCT 23/28 23/28
NCHCT 24/28 24/28
NCHCT 25/28 25/28
NCHCT 26/28 26/28
NCHCT 27/28 27/28
NCHCT 28/28 28/28

The ED consults you due to her abnormal head CT. You ask them to hold sedation. On exam, she has no eye response to noxious stimuli and flexor posturing to pain. Her pupils are 2mm in diameter and reactive to light with quantitative pupillometry.

What do you make of her scan?

The patient has sustained multicompartmental hemorrhages—small amounts in the parenchymal, subarachnoid (mainly right frontal), subdural (right frontal, anterior temporal in particular), and intraventricular (layering in the right occipital horn) spaces. It’s a more subtle finding, but you can also see that the right hemispheric convexity has less sulcation, suggestive of cerebral edema on that side. There’s the right frontal contusion with hemorrhage there. There are also two small IPHs, in the right thalamus and left internal capsule. What do these represent? Likely diffuse axonal injury (DAI).


What recommendations do you give to the ED?

This patient has a severe TBI with markedly depressed exam. Her airway has already been secured, and she’s currently on the ventilator. Her hemodynamics seem fine now. With her poor exam, intracranial hypertension is a definite concern. We need to get invasive ICP monitoring. An intraparenchymal monitor is adequate for now. We can ask them to target SBP < 160, normoxia, and normonatremia.


Next