Case-Based Modules > Case 26

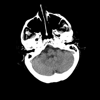
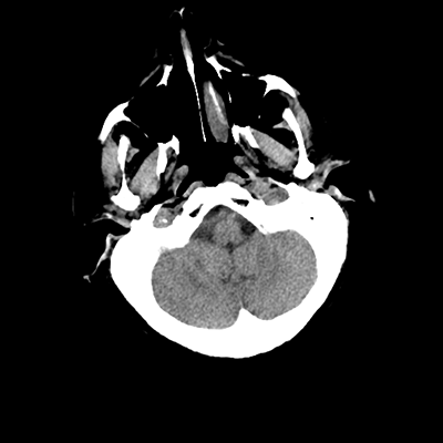
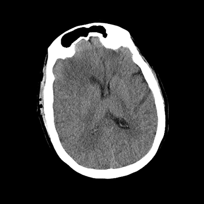
An 76 year-old man with HTN, CAD s/p PCI (two years prior), and PAD initially presented to the ED with subacute left hemiparesis and gait difficulties. He was found to have a large right frontal tumor. He was admitted to the NCCU, and then undergoes a craniotomy for tumor resection later in the week. A post-op head CT is obtained.

NCHCT
NCHCT 1/15 1/15
NCHCT 2/15 2/15
NCHCT 3/15 3/15
NCHCT 4/15 4/15
NCHCT 5/15 5/15
NCHCT 6/15 6/15
NCHCT 7/15 7/15
NCHCT 8/15 8/15
NCHCT 9/15 9/15
NCHCT 10/15 10/15
NCHCT 11/15 11/15
NCHCT 12/15 12/15
NCHCT 13/15 13/15
NCHCT 14/15 14/15
NCHCT 15/15 15/15

On ICU admission day 2, the patient becomes tachycardic to the 140s. You obtain an ECG, and identify that the patient is in a-fib. His neurologic exam has remained stable.

What do you think of the risk/benefit profile of DVT chemoprophylaxis?

There are expected post-operative changes, along with some scant hemorrhaging along the posterior and inferior aspects of the surgical bed. We'll want to ensure that this hemorrhage is stable with a repeat scan, at which point we can start DVT chemoprophylaxis-- will end up being between 24-48 hours post-op.


What do you think of the risk/benefit profile of therapeutic anticoagulation?

So now we get to the crux of the matter for this case. We've now identified the patient as having a-fib. With the given history, he probably has paroxysmal a-fib-- which we know [usually] necessitates therapeutic anticoagulation-- or perhaps this is just an acute response to his current illness. He just had a tumor resection, though, so we can't possibly start therapeutic anticoagulation, right?

The answer to this is not always black and white. We need to figure out, the best we can, his risk profile of not therapeutically anticoagulating her, and compare it to the more obvious risk profile of proceeding with anticoagulating him. Let's start with the latter. Of course, therapeutic anticoagulation increases the risk of hematoma expansion. This is worse more acutely, but improves over time. This was a large tumor resection, and he had obvious post-op blood around the resection cavity. This will make us more hesitant to therapeutically anticoagulate.

What about the risk of not therapeutically anticoagulating him? He has paroxysmal a-fib, and he doesn't seem to have had any other cardioembolic events. (If that last part wasn't true, then his risk profile here would increase.) His CHA2DS2-VASc score is 4 (age, HTN, vascular disease), putting his annual stroke risk at 4.8% per year, or 6.7% for stroke/TIA/systemic embolism. He notably doesn't have a mechanical valve, which would've also raised this risk profile substantially.

Putting this all together, he likely does have an indication for therapeutic anticoagulation due to the risk of cardioembolism. The indication is not emergent, but we still need to be able to convey to him and his family the risks and benefits of each path forward. For now, we can hold off on therapeutic anticoagulation.


Next