Case-Based Modules > Case 3

A 40 year-old woman with HTN and metastatic melanoma (shoulder primary; right frontal lobe metastasis, liver metastases) has been receiving ipilimumab and nivolumab for the past 2 years. Due to progression several months into her course, she was switched to another agent (pembrolizumab). Four months ago, she was found to have a large right frontal metastasis that became symptomatic. She underwent a right frontal craniotomy for tumor resection that was uneventful. She has been undergoing a slow dexamethasone taper. She had a planned repeat surveillance MRI of her brain as shown below. She was just weaned from 6mg daily to 4mg daily.

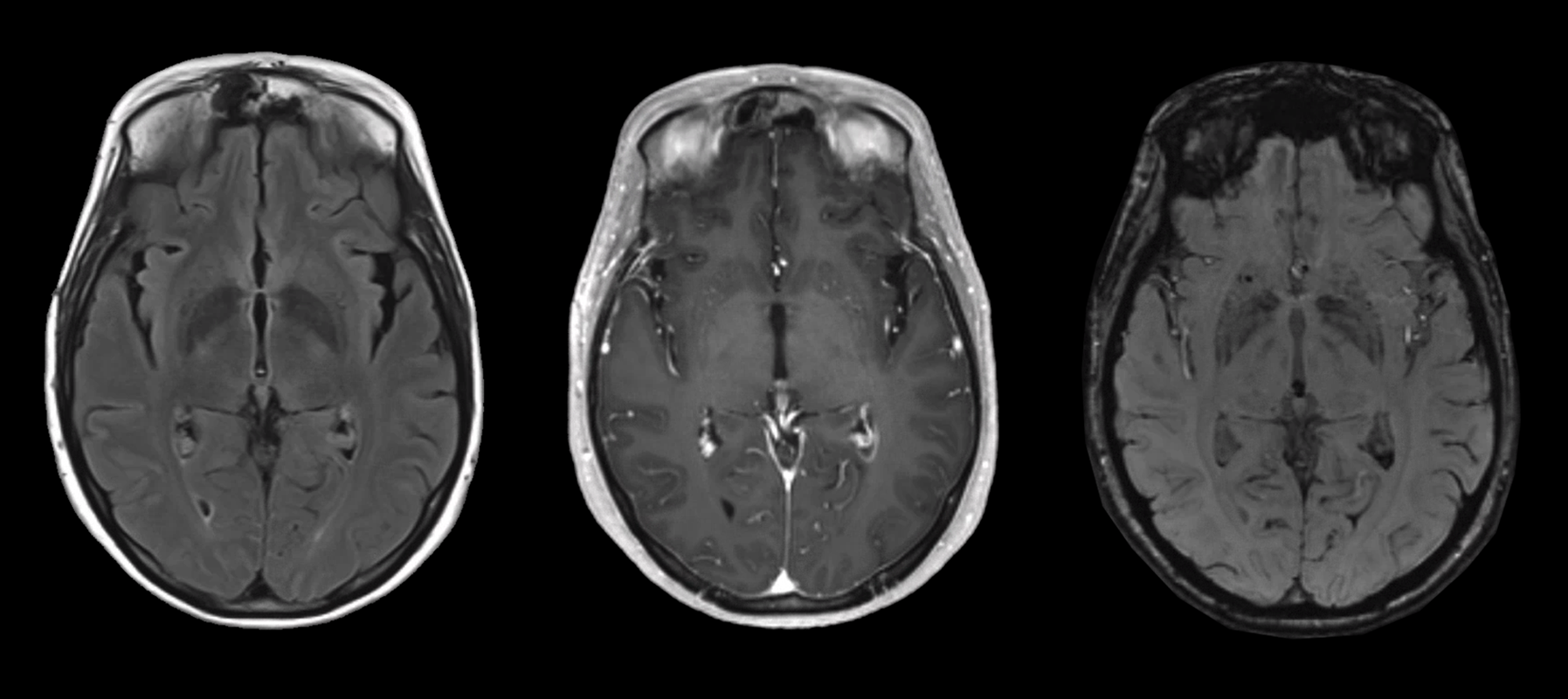
MRI sequences part 1 MRI sequences part 2 MRI sequences part 3

She woke up this morning and her legs "gave out" when she walked to the bathroom. Her hands shook bilaterally. She tried to speak, but her husband said she was "garbled" and nonsensical. Symptoms stopped once she got back in bed. She was able to speak short sentences. This episode lasted about two minutes in total. Her husband drove her to the ED. There, initial vitals are notable for BP 179/73, HR 63, SpO2 99% on room air, T 36.4C. Initial labs are notable for WBC 13, Hb 12, Plt 250, Na 133, Cr 0.7, uNa 179, uOsm 941, sOsm 274. A non-contrast HCT was obtained and is shown below. Her neurologic exam remains slightly abnormal: she is somnolent but does briskly awaken to verbal stimuli. She has no clear focal weakness or hypoesthesia. You were then consulted.

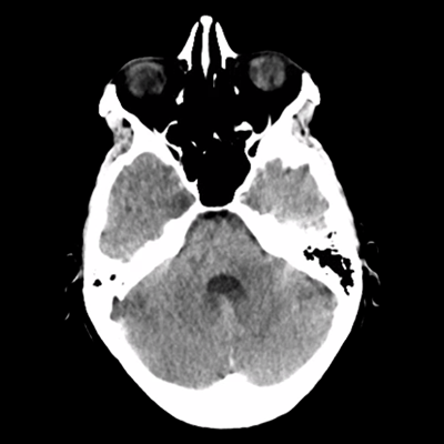
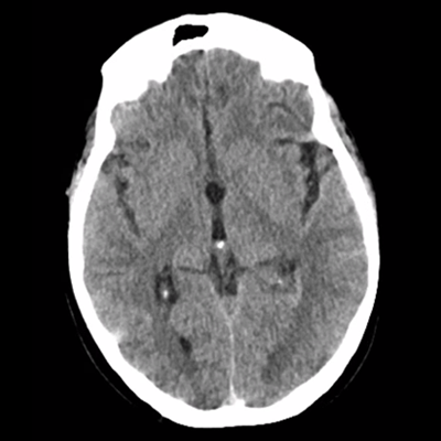
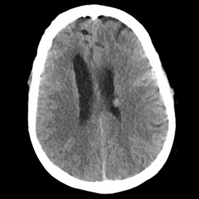
HCT part 1 HCT part 2 HCT part 3
What do you notice regarding her initial lab workup?

Her CBC and BMP aren't too impressive. Marginally low serum sodium, sure. But her urine studies are striking-- her urine sodium of 179 mmol/L is absurdly high! So, her modest hyponatremia is likely SIADH, secondary to her intracranial disease. (Urine sodium is above 20-40 mmol/L in SIADH.) However, you'd be remiss to completely blame her current presentation on this finding.


What do you notice regarding her neuroimaging?

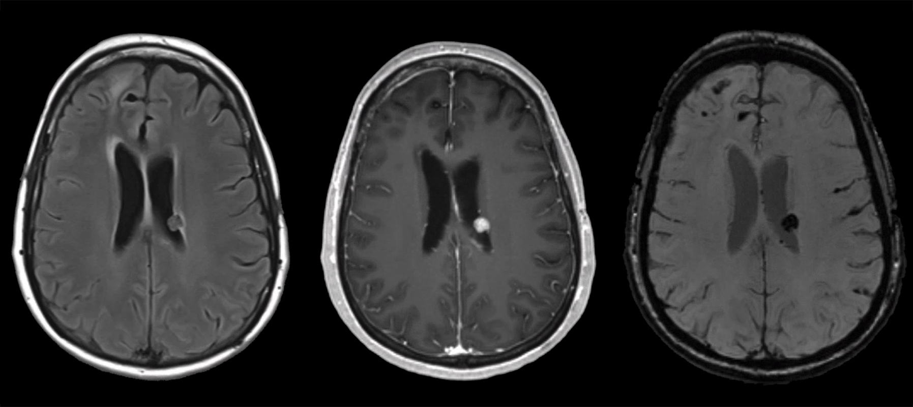
Her neuroimaging is clearly abnormal. Let's start with her MRI brain w/w/o contrast from one month ago. You can see the T2/FLAIR, T1 +C, and SWI sequences for three key slices. What do you notice?

She has some subtle FLAIR hyperintensities around the lining of her occipital horns. Minimal FLAIR hyperintensity in the right frontal region, though that's from her prior metastasis that was resected. What's notable is the absence of significant FLAIR hyperintensity around her right frontal lobe site, left frontal ependymal nodule, or even ventricular lining. There's no clear vasogenic edema or evidence of transependymal flow.

There's subtle contrast enhancement of the ventricles, shown here around the occipital horns and trigone, as well as of the ependymal nodule. What about the SWI sequences?

Other than the expected post-surgical changes, the left frontal ependymal nodule is hypointense. There's hypointense signal within the cerebellar foliae and fourth ventricle as well. While you'd normally think of subarachnoid hemorrhaging, in the context of her known metastatic melanoma, this all represents leptomeningeal spread of her cancer.

Looking at her non-contrast HCT now, there's nothing new in terms of acute hemorrhage or large-territory infarction, nor overt vasogenic edema. Now we should compare this to the prior scan. It's not shown well in these example slices shown here, but her ventricular caliber was very subtly larger as compared to the MRI, most noticeable with the slightly larger temporal horns and third ventricle.


What is your differential diagnosis for the etiology of her episode this morning?

The abnormal movements and altered mentation are concerning for seizure. She's clearly at very high risk of this due to 1) her known right frontal metastasis for which she got a craniotomy and resection, 2) leptomeningeal involvement (look closely at the post-contrast and SWI sequences of her MRI brain), and perhaps 3) ongoing checkpoint inhibitor therapy (though any concern of autoimmune encephalitis should be contextualized against her overall presentation and the time course given here). A precipitant to consider is her steroid wean. However, there's no impressive vasogenic edema, so this answer, while possible, is less satisfying.

If she had lost consciousness and then had these abnormal movements, then convulsive syncope is another possibility.

That's it-- we're done, right? Easy enough. Let's see how things go...


Neurology residents: What are your recommendations for the ED?

Repeating an MRI brain w/w/o contrast to assess for any change in her intracranial disease burden is reasonable, as this would help identify a clear acute precipitant for seizures when we know she has a substrate for them. It could also guide further oncologic therapy. When this is obtained should be weighed against her clinical stability, though.

Obtaining an EEG can be helpful for identifying any interictal abnormalities. This should take precedence over repeating a long scan such as another MRI brain. Your pre-test probability for ongoing non-convulsive status epilepticus should be low-moderate based on her exam and known intracranial pathology. You could either empirically start continuous EEG now, or obtain a spot EEG and calculate a 2HELPS2B score to guide whether to convert to a continuous record.

In terms of therapeutic recommendations, our leading diagnosis at this point is epileptic seizure (your pre-test probability should be moderate-high). Assuming she had a seizure, her risk for another one is very likely to be above 60% (based on her intracranial pathology), and your pre-test probability means that a normal spot EEG should not dissuade you from treating it as such.

MRI brain, spot 60-minute EEG, and levetiracetam initiation are recommended.

> Click here to continue


Neurosurgery residents: What are your recommendations for the ED?

Our leading diagnosis at this point is epileptic seizure. You hear that our neurology colleagues are already recommending repeat imaging and EEG, and they'll also start levetiracetam. Repeating an MRI is reasonable because she's already demonstrated cancer progression in spite of her therapy, and she's now having new symptoms. Her HCT doesn't clearly reveal anything that requires acute neurosurgical intervention. She has expected post-operative changes related to her frontal lobe metastasis resection. Her ventricles are questionably larger, but because of the temporal relationship with the steroid taper, you don't think this is responsible for her presenting symptoms. Her ependymal nodule certainly isn't the major contributor of her problems.

Medical oncology and radiation oncology consultation are recommended.

> Click here to continue


Suggested Reading: