Case-Based Modules > Case 7

A 51 year-old man with metastatic RCC (diagnosed in 2010, previously on ipilimumab/nivolumab, now on cabozantinib since 2022) with known multifocal brain metastases c/b symptomatic focal epilepsy (on levetiracetam) initially presents to the ED due to subacute progressive gait difficulties. He's been experiencing some unsteadiness and weakness of his left leg. He does require use of a cane, but he hasn't had any falls. His last seizure was one year prior; he's had none since his levetiracetam was increased to 1.5g bid.

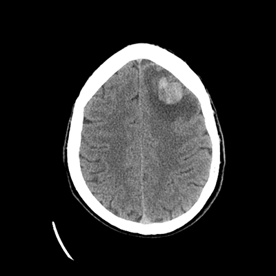
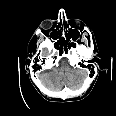
In the ED, he undergoes a non-contrast head CT. You are then consulted.

NCHCT
NCHCT 1/18 1/18
NCHCT 2/18 2/18
NCHCT 3/18 3/18
NCHCT 4/18 4/18
NCHCT 5/18 5/18
NCHCT 6/18 6/18
NCHCT 7/18 7/18
NCHCT 8/18 8/18
NCHCT 9/18 9/18
NCHCT 10/18 10/18
NCHCT 11/18 11/18
NCHCT 12/18 12/18
NCHCT 13/18 13/18
NCHCT 14/18 14/18
NCHCT 15/18 15/18
NCHCT 16/18 16/18
NCHCT 17/18 17/18
NCHCT 18/18 18/18

You examine the patient in the ED. He corroborated the history you were given. Additionally, he and his wife confirm that he hasn't had any falls or episodes of loss of consciousness. He is fully alert and has intact language. He follows commands well. Pupils are equal and reactive. Face is symmetric at rest and with activation. He has a subtle dysarthria. Extremity strength is full.

Just as you turn around and reach for the door, he cries out. You turn around, and see that his eyes are open. He doesn't respond to you. His arms both flex and tense up, then he has clonic convulsions. You go over and make sure he's safe, and also hit the call light to get some help. His seizure spontaneously resolves after 30 seconds. He's somnolent. Nurses come in and help. His BP is normal. He's slightly tachycardic. He's satting well on room air.

Is cEEG indicated for this patient?

Unclear at this point actually. Of course, our initial priority is to maintain the ABCs. He's somnolent now, but his mentation should begin to gradually improve in the next few minutes. Again, the question of cEEG is actually a question of "what are we trying to answer with this test?" His recent history hasn't been concerning for seizures, though we knew he is at high risk for them due to his multiple supratentorial metastases and resultant symptomatic focal epilepsy. We also know now that his metastases have bled, which is concerning and also not unexpected given the malignancy type. The fact that he has epilepsy doesn't mean that you necessarily need to start cEEG after every single seizure.

> Click here to continue