Images Index > Image of the Day 6

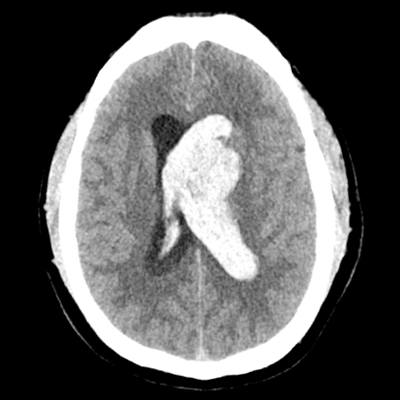
HCT showing L caudate IPH with IVH HCT showing L caudate IPH with IVH

A 43 year-old man with HTN presents to the ED with an acute onset of word-finding difficulties, dysarthria, and right hemiplegia. Initial vitals are notable for BP 195/98, HR 97, RR 12, T 37.2C. Labs identify no coagulopathy. He takes no medications. He gets a non-contrast head CT, as shown here. You note that he has a casted left lateral ventricle (IVH) along with a left caudate IPH. The patient experiences a sudden decline in mental status and requires intubation for airway protection. The ED gives him IV labetalol 10mg and starts him on nicardipine gtt to achieve goal SBP < 140. What is the best next step in management for this patient?

A. Decompressive hemicraniectomy

This is definitely a measure worth consideration throughout his early clinical course, though is not currently indicated for this patient. He has a large hematoma burden, but it's primarily intraventricular, with some within the adjacent parenchyma in the left caudate. (He likely first had a hypertensive bleed within the caudate that dissected into the ventricular system.) The IPH isn't producing any significant mass effect to necessitate decompression.

B. External ventricular drain placement

Yes! The patient has likely developed obstructive hydrocephalus due to the IVH that is casting the left lateral ventricle. This is a larger contributor to his neurologic decline than any mass effect you can see from the caudate bleed. He needs CSF diversion via an EVD.

C. IV levetiracetam 4.5g

This patient had a sudden neurologic decline in the setting of a newfound acute IPH with IVH. While he is certainly at risk for seizures, there is an alternative etiology of higher likelihood that must be ruled out first.

D. Update goal SBP to be < 120

With the patient's initial SBP between 140-220mmHg, it is reasonable to lower it to < 140. However, more restrictive BP goals beyond this are more likely to cause harm. (If he was hypertensive to > 220 to begin with, then changes in SBP greater than 40mmHg are associated with an increase in morbidity and would thus not be recommended.)

E. 4-factor prothrombin complex concentrate

This patient does not take any anticoagulants and his lab work does not suggest coagulopathy. 4F-PCC is not indicated for this patient.